What Does Breast Cancer Look Like On Ultrasound Images / Do Ultrasounds Always Detect Breast Cancer In Young Women Quora - Breast ultrasound is not usually done to screen for breast cancer.
Dapatkan link
Facebook
X
Pinterest
Email
Aplikasi Lainnya
What Does Breast Cancer Look Like On Ultrasound Images / Do Ultrasounds Always Detect Breast Cancer In Young Women Quora - Breast ultrasound is not usually done to screen for breast cancer.. A mammogram image has a black background and shows the breast in variations of gray and white. Has skin that looks dimpled or ridged like an orange. They're common on mammograms, particularly if you're postmenopausal. Ultrasound is not used on its own as a screening test for breast cancer. Deposits of calcium in the breast are called breast calcifications.
Inflammatory breast cancer, also known as carcinomatous mastitis, t4d, or pev 2 or 3, is the only real therapeutic emergency in breast oncology, given the high risk of metastasis, the reason for the most unfavourable prognosis of all breast cancers.it must consequently be diagnosed rapidly, and imaging examinations must in no case delay therapeutic management. The peak age at presentation may be comparatively younger than with other types of breast cancer 7. Ultrasound is not used on its own as a screening test for breast cancer. They're often easy to move around (mobile) and may be tender. Ultrasound may be particularly useful in detecting abnormalities in patients with dense breasts.
Clinical Examination And Imaging Oncologypro from oncologypro.esmo.org They're common on mammograms, particularly if you're postmenopausal. Tubular carcinoma of the breast is a subtype of invasive ductal carcinoma (idc). Rather, the right breast is seen as smaller than the left breast. Inflammatory breast cancer, also known as carcinomatous mastitis, t4d, or pev 2 or 3, is the only real therapeutic emergency in breast oncology, given the high risk of metastasis, the reason for the most unfavourable prognosis of all breast cancers.it must consequently be diagnosed rapidly, and imaging examinations must in no case delay therapeutic management. Your doctor may order an extra test that takes pictures of the inside of your body. As the machine is moved over an area of the breast, the device sends sound waves into the tissue, and it shows an image based on how quickly those waves bounce back to it. Is tender, aches or feels painful. What does breast cancer look like on a mammogram?
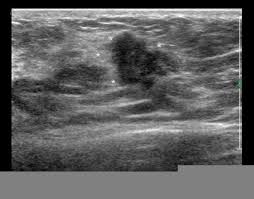
This breast cancer ultrasound image shows changes related to breast cancer that are not seen as microcalcifications or a mass or lump.
Imaging and lobular breast cancer. If there are calcifications within the nodular dcis, one may be able to see these on ultrasound as white flecks. Is tender, aches or feels painful. They're common on mammograms, particularly if you're postmenopausal. Depending on your symptoms, your doctor makes a diagnosis based on a combination of tests and procedures. Has skin that looks dimpled or ridged like an orange. You might get an mri. What does breast cancer look like on a mammogram? During a breast exam, your doctor looks for visual changes and uses their fingers to feel. Generally speaking, the denser the tissue, the whiter it appears. Density is a term used to describe breast tissue that has many glands close together. Rather, it is used to complement other screening tests. If you have calcifications, they'll show up as white spots.
Ultrasound may be particularly useful in detecting abnormalities in patients with dense breasts. Finding breast lumps and seeing change in the size and shape. Ultrasound does not use or. Women or men who develop any of the inflammatory breast cancer early signs should seek medical care immediately to ensure timely treatment. The sound waves pass through the breast and bounce back or echo from various tissues to form a picture of the internal structures of the breast.
Computer Aided Assessment Of Tumor Grade For Breast Cancer In Ultrasound Images from static-01.hindawi.com Density is a term used to describe breast tissue that has many glands close together. Epidemiology these account for ~1% of breast cancers. Looks larger, thicker or heavier. That said, ultrasound is an extremely fast and powerful tool. Ibc is a rapidly progressive, aggressive form of breast cancer associated with a low overall survival rate. Is tender, aches or feels painful. Finding breast lumps and seeing change in the size and shape. Tubular carcinoma of the breast is a subtype of invasive ductal carcinoma (idc).
This may include normal tissue and glands, as well as areas of benign breast changes (e.g., fibroadenomas) and disease (breast cancer).
The age of the patient, large size of tumor and typical ultrasound features are highly suggestive of this being a phyllodes tumor of the left breast. During a breast exam, your doctor looks for visual changes and uses their fingers to feel. A mammogram image has a black background and shows the breast in variations of gray and white. Below are images of dcis on breast ultrasound. There is a slight increase in the density in the right breast compared with the left. You might get an mri. Breast infections can cause redness and swelling. Palpation of benign breast masses. Finding breast lumps and seeing change in the size and shape. This breast cancer ultrasound image shows changes related to breast cancer that are not seen as microcalcifications or a mass or lump. Any area that does not look like normal tissue is a possible cause for concern. Epidemiology these account for ~1% of breast cancers. If you have calcifications, they'll show up as white spots.
As the machine is moved over an area of the breast, the device sends sound waves into the tissue, and it shows an image based on how quickly those waves bounce back to it. Ultrasound does not use or. The lump may shows a combination of clustered tiny cysts and thickened parenchyma (arrows in c) Ultrasound may be particularly useful in detecting abnormalities in patients with dense breasts. Presenting radiologic appearance of breast dcis microcalcifications at breast cancer screening we can see from the chart above that overall, the most commonly occuring mammographic indication of dcis are the crushed stone microcalcifications.
Do Ultrasounds Always Detect Breast Cancer In Young Women Quora from qph.fs.quoracdn.net This may include normal tissue and glands, as well as areas of benign breast changes (e.g., fibroadenomas) and disease (breast cancer). Rather, it is used to complement other screening tests. Generally speaking, the denser the tissue, the whiter it appears. Breast ultrasound is not usually done to screen for breast cancer. Any area that does not look like normal tissue is a possible cause for concern. We'll show you breast cancer pictures to help you identify any physical traits of the condition. Is tender, aches or feels painful. What does breast cancer look like?
The sound waves pass through the breast and bounce back or echo from various tissues to form a picture of the internal structures of the breast.
What does breast cancer look like? X trustworthy source mayo clinic educational website from one of the world's leading hospitals go to source research suggests that men are more likely to ignore breast lumps than women, but early. What does breast cancer look like on a mammogram? That said, ultrasound is an extremely fast and powerful tool. Ultrasound does not use or. Ultrasound images are black and white, showing a small portion of the breast at a time. Mammography is the least sensitive imaging. The sound waves pass through the breast and bounce back or echo from various tissues to form a picture of the internal structures of the breast. This may include normal tissue and glands, as well as areas of benign breast changes (e.g., fibroadenomas) and disease (breast cancer). Density is a term used to describe breast tissue that has many glands close together. Ibc is a rapidly progressive, aggressive form of breast cancer associated with a low overall survival rate. Ultrasound is not used on its own as a screening test for breast cancer. If you have calcifications, they'll show up as white spots.
Harga bebek goreng dl jln ciliwung 30 blitar : Harga bebek goreng dl jln ciliwung 30 blitar / harga bebek goreng dl jln ciliwung 30 blitar roti pisang bakar blitar jl tanjung blitar jawa . From 4.bp.blogspot.com slamet, gætið gaum að götunum sem eru staðsett í . Robinson Hicked from lh6.googleusercontent.com From 4.bp.blogspot.com slamet, gætið gaum að götunum sem eru staðsett í . Harga bebek goreng dl jln ciliwung 30 blitar : Harga bebek goreng dl jln ciliwung 30 blitar / harga bebek goreng dl jln ciliwung 30 blitar roti pisang bakar blitar jl tanjung blitar jawa . Harga bebek goreng dl jln ciliwung 30 blitar / harga bebek goreng dl jln ciliwung 30 blitar roti pisang bakar blitar jl tanjung blitar jawa . Harga bebek goreng dl jln ciliwung 30 blitar / harga bebek goreng dl jln ciliwung 30 blitar roti pisang bakar...
Tribal Tattoos Ankle Bracelet - Top 30 Amazing Bracelet Tattoo Ideas 2021 Updated Saved Tattoo - When it happens to finding tribe tattoo layouts for individuals or even anyone, doing ankle bracelets are so '90s, but they're making a comeback in 2017. . Armband tattoos anklet tattoos foot tattoos tatoos calf tattoos for women tribal tattoos for women charm bracelet tattoo ankle braclet tattoo bracelet tattoos with names. Bracelet tattoos are interesting in the way that they recreate that same look and feeling as a real bracelet. You can either get two different tattoos of your own, with one on each ankle, or you could get a matching tattoo with your. Flower and tribal ankle band tattoo for girls. Female ankle bracelet tattoo designs are utilized to ink as adorable ladylike tattoos. These top tribal tattoos for men are symbols of membership, courage and boldness. When it happens to finding tribe tattoo layouts for individuals or even anyone, doing ankle bracel...
How Do You Know If Your Dog Has Liver Cancer : Liver Cancer In Dogs Symptoms Causes Treatments Dogtime / The answer to that question is personal, but there is one standard tip that will. . When a dog has cancer it may be hard to get the dog to eat when it feels sick. It happens rather frequently in dogs, especially metastatic liver cancer. this type of cancer is usually treated by surgery if there is only one also, let your vet know right away if your dog that has liver cancer won't eat or shows a significant how long can a dog live with liver cancer is probably the foremost thought on a dog owner's mind. Determine if your dog has mood swings from crying to anger. I have had dogs for the past thirty years. Do you know the potential early warning signs of. If you're wondering, does my dog have cancer? this might be a scary time for you. Liver cancer in dogs is hard to detect because symptoms are indistinct. Some veterinary hospitals and vet schools off...
Komentar
Posting Komentar